- Case report
- Open Access
- Published:
Neutropenic enterocolitis-induced sepsis and disseminated intravascular coagulation after chemotherapy: a case report
BMC Women's Health volume 21, Article number: 187 (2021)
Abstract
Background
Neutropenic enterocolitis (NE) is a potentially life-threatening disease that primarily occurs in cancer patients treated with chemotherapy. NE has substantial morbidity and mortality, and its incidence has increased with the widespread use of chemotherapeutic agents such as taxanes, gemcitabine, and leucovorin in patients with lung, breast, gastric, and ovarian cancers. Sometimes NE can be a possible cause of death. Although, conservative approaches are often successful, there are currently no standardized treatment guidelines for NE and it is unclear when such strategies should be implemented. Therefore, we present this report to provide a greater insight into the possible treatment of NE.
Case presentation
We report the case of a 72-year-old woman with endometrial cancer who was undergoing treatment for hypertension, obesity and diabetes mellitus. The patient initially developed paralytic ileus on the 6th postoperative day (POD) after surgery for endometrial serous carcinoma. Complete recovery was achieved after 4 days of fasting and fluid replacement therapy. On the 27th POD, she received the first cycle of combination chemotherapy consisting of paclitaxel and carboplatin. On day 5 of chemotherapy, she developed the systemic inflammatory response syndrome including febrile neutropenia and sepsis. She then developed disseminated intravascular coagulation (DIC) and septic shock. The patient was subsequently moved to the intensive care unit (ICU). Despite initiating the standard treatment for septic shock and DIC, her overall status worsened. It was assumed that gut distention had led to bowel damage, subsequently leading to bacterial translocation. Thus, she developed NE with severe DIC and septic shock. We decided to reduce the intestinal pressure using an ileus tube to suction the additional air and fluid, even though doing so had a risk of worsening her general condition. The inflammatory reaction subsided, and her general condition improved. The patient recovered after 18 days in the ICU and was discharged alive.
Conclusions
Herein, we describe a patient with suspected chemotherapy-associated NE. Our observations suggest that postoperative ileus may be one of the possible causes of NE. Patients who experience postoperative ileus must be carefully monitored while undergoing chemotherapy.
Back ground
The incidence of endometrial carcinoma has been increasing recently [1], including in Japan [2]. Patients with endometrial carcinoma generally have a good prognosis owing to the significant advances in diagnostic and therapeutic modalities [3]. Chemotherapy is the mainstay treatment of endometrial carcinoma. However, while patients rarely experience life-threatening adverse events, some chemotherapeutic drugs have been found to be associated with gastrointestinal emergencies such as neutropenic enterocolitis (NE) (Table 1) [4,5,6,7,8,9,10,11,12,13,14,15,16,17,18]. NE is an acute life-threatening condition that is characterized by transmural inflammation of the cecum. It often involves the ascending colon and ileum, and can sometimes lead to severe patient outcomes [19, 20].
Previous studies on the pathogenesis of NE indicate that the main factors involved in disease onset appear to be an intestinal mucosal injury together with the immunocompromised state and neutropenia of the impaired patients. These beginning conditions lead to a disrupted mucosal surface, engorged vessels, and intestinal edema, which becomes more vulnerable to bacterial intramural invasion [21]. Stemmler et al. [8] also reported that bacterial invasion, mucosal damage of the bowel, increased rapid growth of bacteria resulting from decreased immunocompetence, production of intramural hemorrhage, ulceration, bacterial endotoxins, ischemia, and in some cases, necrosis of the bowel wall and perforation.
NE has also been reported after treatment with vinorelbine [10, 22], gemcitabine [15], and especially taxanes [4,5,6,7,8,9,10,11,12,13,14,15,16,17,18,19,20, 22, 23] in patients with lung, breast, gastric, ovarian, or peritoneal malignancies and in patients with long-term neutropenia [4,5,6,7,8, 12,13,14,15, 24, 25]. According to previous reports, carboplatin is also more likely to cause neutropenia; however, it has specifically never been mentioned as the cause of NE, because its role in its pathogenesis remains incompletely understood and it is often used in combination with taxanes [4,5,6,7,8,9,10, 14, 15]. Docetaxel may result in an inflammatory bowel syndrome that clinically mimics pseudomembranous colitis [26]. Gastrointestinal mucosal toxicity and ileus have been described as some of its adverse effects [27]. While some information on NE is available in literature, it is very difficult to predict the factors that lead to NE in each patient.
Herein, we describe a novel case of uterine endometrial cancer that led to critical NE complicated by disseminated intravascular coagulation (DIC) and septic shock.
Case presentation
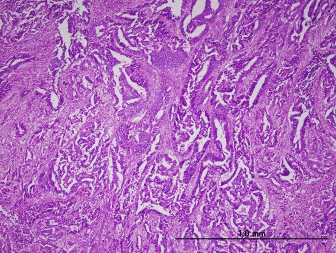
A 72-year-old Japanese woman on medications for hypertension, obesity, and diabetes mellitus, was referred to our hospital with abnormal uterine bleeding. She was previously diagnosed with abnormal endometrial cytology at a previous clinic and visited our hospital for further examination and treatment. Endometrial biopsy revealed an adenocarcinoma (G2), while pelvic magnetic resonance imaging revealed a lesion mass of size 60 × 66 × 53 mm in the right side of the uterus (Fig. 1), which was suspected to invade the serosal side. An enlarged lymph node measuring 18 mm was also found in the lymph node clusters in the right internal iliac artery and the obturator lymph node. Therefore, hysterectomy, bilateral adnexectomy, pelvic lymph node dissection, and para-aortic lymph node dissection were performed. A pathological examination using surgical specimen revealed endometrial serous carcinoma (Fig. 2). Finally, she was diagnosed with stage III C2 endometrial cancer.
On the 6th postoperative day (POD), the patient developed abdominal bloating and nausea. Abdominal radiography revealed that the stomach and the intestine were markedly dilated with gas and air-fluid levels, indicating paralytic ileus (Fig. 3). Thus, the patient was initiated on fasting and fluid replacement therapy, following which she recovered completely within 4 days. On the 27th POD, the patient received the first cycle of combination chemotherapy consisting of paclitaxel (175 mg/m2; 3-h infusion) and carboplatin (at a dose corresponding to an area under the curve [AUC] of 5 mg/mL/min).
On day 5 of chemotherapy, the patient developed a fever (38.6 °C), diarrhea, and fatigue. Her pulse rate, respiratory rate, and blood pressure were 120 beats/min, 20 breaths/min, and 88/52 mmHg, respectively. Blood examination revealed a white blood cell count, neutrophil count, and C-reactive protein (CRP) level of 270/μL, 40/μL, and 17.92 mg/dL, respectively, which were suggestive of the systemic inflammatory response syndrome including febrile neutropenia (FN) and sepsis. Therefore, an antibiotic therapy and granulocyte-colony stimulating factor therapy were initiated immediately. However, her condition worsened the next day. The body temperature, pulse rate, respiratory rate, blood pressure, white blood cell count, neutrophil count, and CRP level were 40.2 °C, 150 beats/min, 49 breaths/min, 63/42 mmHg, 150/μL, 0/μL, and 41.5 mg/dL, respectively.
Because she suffered from septic shock and DIC, she was shifted to the intensive care unit (ICU). Computed tomography (CT) of the abdomen and pelvis revealed remarkable intestinal dilation and thickening of the intestinal wall. Therefore, we considered enteritis as the origin of inflammation (Fig. 4). Furthermore, we speculated that the patient’s condition was associated with toxicity due to bacterial translocation. However, no bacteria were detected in the blood and intestinal fluid. In addition to the treatment for septic shock and DIC, a long ileus tube was inserted into the stomach through the nasal cavity because she experienced a constant high-pressure feeling in the intestine and because we had to suction the extra air and fluid. Favorable outcomes were achieved, including reduced edema in the intestinal colon, improved circulation in the involved intestine, and correction of the intestinal kinking. Her condition gradually improved, and the neutrophil count and immune function improved from the 4th day of ICU admission. She was discharged alive and well from the ICU after 18 days (Fig. 5). The patient’s clinical course is shown in Fig. 5. Written informed consent was obtained from the patient for participating in all procedures, and this work was approved by the Institutional Review Board of the Shimane University (IRB No-20200110-1).
Discussion and conclusions
The true incidence of NE is unknown [27]. While NE was initially reported after the use of taxane drugs, recent reports have highlighted the occurrence of NE after the administration of several chemotherapeutic drugs such as gemcitabine, leucovorin, cytosine arabinoside, vincristine, doxorubicin, cyclophosphamide, and 5-fluorouracil [20]. Furthermore, treatment with immunosuppressants (for organ transplantation), antibiotics, and sulfasalazine (for rheumatoid arthritis) has also been reported to cause NE [28, 29]. In the present case, the patient developed NE with septic shock and DIC after receiving the first cycle of adjuvant chemotherapy with platinum and a paclitaxel-based regimen for an endometrial serous carcinoma.
NE easily occurs in patients with neutrophil counts < 500/μL. Cardona et al. [24] reported that patients with neutrophil counts < 1000/μL had a higher risk of NE than those with counts > 1000/μL. Moreover, Wade et al. [25] reported that leukocyte count recovery after the onset of NE is associated with survival. Sharma et al. [30] found that 12% of the patients with epithelial ovarian cancer developed neutropenic fever while receiving first-line adjuvant chemotherapy. Markman et al. [31] also reported that among patients who underwent a carboplatin-based regimen for pelvic malignancies, FN occurred in 1% of those treated with carboplatin and paclitaxel and in 12% of those treated with carboplatin and docetaxel.
Herein, we present the case of a patient who was critically ill due to NE. To our knowledge, this is the first report on sepsis and DIC resulting from NE due to ileus following treatment for endometrial cancer. While there are a few reports on NE, it is necessary to recognize the considerable increase in the number of patients who are likely to experience an ileus.
Until now, intestinal mucosal damage from chemotherapeutic drugs has been considered as the cause of NE. However, the current case presents postoperative ileus as another possible cause of NE. Because ileus induces the elevation of the internal pressure in the intestine, it may lead to bacterial translocation, which may then progress to NE. This patient first developed paralytic ileus on the 6th POD and subsequently developed septic shock and DIC on the 6th day after the first chemotherapeutic cycle. Because she was at a high risk for ileus development, we managed the bowel peristalsis. Furthermore, we were also required to closely manage the NE, because she had received a taxane regimen. A similar case of a colon cancer patient who developed NE during postoperative chemotherapy has been reported [32]. Physicians should carefully consider chemotherapy in patients who develop paralytic ileus after surgery. In our case, the patient received paclitaxel, which is a known causative factor of NE. In similar cases, physicians should also consider the administration of medications at the beginning of chemotherapy for preventing paralysis of the intestine.
The outcome of this case also indicates the importance of simultaneous treatments for septic shock, DIC, and NE. For patients who initially develop NE, followed by DIC and septic shock, treatment should be initiated for not only DIC and septic shock, but also for the cause of septic shock. In such patients, septic shock would generally occur due to bacterial translocation triggered by an increase in the intra-intestinal pressure. Thus, the intra-intestinal pressure must be reduced primarily by using an ileus tube for aspirating the fluid and gas. In the current case, it was the only treatment deemed feasible for relieving the pressure, although it was challenging to insert the ileus tube due to the patient’s severely ill condition. Favorable outcomes were achieved, and the patient recovered. Her condition was managed by suctioning the extra air and fluid using an ileus tube along with the administration of broad spectrum antibiotics. This shows that the insertion of an ileus tube is essential for the curative treatment in critically ill patients, such as in this case. In the present case, we encountered severe NE after the first chemotherapeutic cycle with taxanes and platinum, which are routinely used for the treatment of patients with endometrial cancer in our institute. This is only a case report; therefore, it should not be assumed that every patient would survive a similar condition. However, it is very important for physicians who successfully treat similar cases having life-or-death situations to submit reports on the same.
Another notable point is that the patient was clinically obese. Her body mass index (BMI) was 30.4 kg/m2. The obesity paradox has been reported in various diseases such as cardiac diseases, type 2 diabetes mellitus, renal diseases, and cancers [33,34,35]. Some studies have reported the association between the obesity paradox and septic shock not caused by NE [36,37,38]. However, the evidence on the association between obesity and mortality is conflicting. For example, Oliveros et al. [39] and Wurziger et al. [40] demonstrated that obesity influences the risk for mortality. In contrast, Hogue et al. [41] concluded that the BMI does not affect mortality in critically ill patients. According to previous reports, a greater number of obese patients survive severe conditions in the ICU as compared to patients having a normal weight [38]. The observations in the present case were consistent with those of these previous reports. However, this case had certain limitations in that it was a single event and the factor whose addressal would contribute the most to the resolution of the condition was unknown.
From this case we learnt that the major and popular treatments involving the combination of taxanes and platinum for endometrial cancer patients can induce NE, which can also lead to sepsis and DIC after bacterial translocation. We yearn for residents to keep this in consideration. Postoperative ileus can cause clinical conditions similar to in this case, because the ischemic intestinal tract can easily undergo ileus again and experience bacterial translocation following an increase in the inner intestinal pressure. It is vital to ensure that these points are considered at the beginning of the first chemotherapeutic cycle.
In conclusion, postoperative ileus might be a risk factor of NE. Patients who experience ileus should be carefully evaluated for concurrent neutropenia when they receive chemotherapy. In case of NE with intestinal distention, it is essential to alleviate the inner pressure of the intestine to help remove the cause of bacterial translocation immediately.
Availability of data and materials
The datasets used and/or analysed during the current study available from the corresponding author on reasonable request.
Abbreviations
- NE:
-
Neutropenic enterocolitis
- DIC:
-
Disseminated intravascular coagulation
- G-CSF:
-
Granulocyte-colony stimulating factor
- SIRS:
-
Systemic inflammatory response syndrome
- ICU:
-
Intensive care unit
- BMI:
-
Body mass index
- MRI:
-
Magnetic resonance imaging
- AUC:
-
Area under the curve
- FN:
-
Febrile neutropenia
- CT:
-
Computed tomography
References
- 1.
Eritja N, Yeramian A, Chen BJ, Llobet-Navas D, Ortega E, Colas E, et al. Endometrial carcinoma: specific targeted pathways. Adv Exp Med Biol. 2017;943:149–207.
- 2.
Cancer Registry and Statistics. Cancer Information Service, National Cancer Center, Japan.
- 3.
Benito V, Lubrano A, Andújar M, Mori M, Federico M. Management of endometrial cancer in patients aged 80 years and older: identifying patients who may benefit from a curative treatment. Eur J Obstet Gynecol Reprod Biol. 2019;242:36–42.
- 4.
Furonaka M, Miyazaki M, Nakajima M, Hirata S, Fujitaka K, Kondo K, et al. Neutropenic enterocolitis in lung cancer: a report of two cases and a review of the literature. Intern Med. 2005;44:467–70.
- 5.
Kouroussis C, Samonis G, Androulakis N, Souglakos J, Voloudaki A, Dimopoulos MA, et al. Successful conservative treatment of neutropenic enterocolitis complicating taxane-based chemotherapy: a report of five cases. Am J Clin Oncol. 2000;23:309–13.
- 6.
D’Amato G, Rocha Lima C, Mahany JJ, Muro-Cacho C, Haura EB. Neutropenic enterocolitis (typhlitis) associated with docetaxel therapy in a patient with non-small-cell lung cancer: case report and review of literature. Lung Cancer. 2004;44:381–90.
- 7.
Zalcberg J, Millward M, Bishop J, McKeage M, Zimet A, Toner G, et al. Phase II study of docetaxel and cisplatin in advanced non-small-cell lung cancer. J Clin Oncol. 1998;16:1948–53.
- 8.
Stemmler HJ, Kenngotte S, Diepolder H, Heinemann V. Gastrointestinal toxicity associated with weekly docetaxel treatment. Ann Oncol. 2002;13:978–81.
- 9.
Cardenal F, Montes A, Llort G, Seguí J, Mesía R. Typhlitis associated with docetaxel treatment. J Natl Cancer Inst. 1996;88:1078–9.
- 10.
Ibrahim NK, Sahin AA, Dubrow RA, Lynch PM, Boehnke-Michaud L, Valero V, et al. Colitis associated with docetaxel-based chemotherapy in patients with metastatic breast cancer. Lancet. 2000;355:281–3.
- 11.
Pestalozzi BC, Sotos GA, Choyke PL, Fisherman JS, Cowan KH, O’Shaughnessy JA. Typhlitis resulting from treatment with taxol and doxorubicin in patients with metastatic breast cancer. Cancer. 1993;71:1797–800.
- 12.
Ramsingh J, Bolln C, Hodnett R, Al-Ani A. Neutropenic enterocolitis affecting the transverse colon: an unusual complication of chemotherapy. BMJ Case Rep. 2014;2014:bcr2014204035.
- 13.
Oehadian A, Fadjari TH. Neutropenic enterocolitis in breast cancer patient after taxane-containing chemotherapy. Acta Med Indones. 2008;40:29–33.
- 14.
Gadducci A, Gargini A, Palla E, Fanucchi A, Genazzani AR. Neutropenic enterocolitis in an advanced epithelial ovarian cancer patient treated with paclitaxel/platinum-based chemotherapy: a case report and review of the literature. Anticancer Res. 2005;25:2509–13.
- 15.
Geisler JP, Schraith DF, Manahan KJ, Sorosky JI. Gemcitabine associated vasculitis leading to necrotizing enterocolitis and death in women undergoing primary treatment for epithelial ovarian/peritoneal cancer. Gynecol Oncol. 2004;92:705–7.
- 16.
Seewaldt VL, Cain JM, Goff BA, Tamimi H, Greer B, Figge D. A retrospective review of paclitaxel-associated gastrointestinal necrosis in patients with epithelial ovarian cancer. Gynecol Oncol. 1997;67:137–40.
- 17.
Rose PG, Piver MS. Intestinal perforation secondary to paclitaxel. Gynecol Oncol. 1995;57:270–2.
- 18.
Polee MB, Verweij J, Siersema PD, Tilanus HW, Splinter TA, Stoter G, et al. Phase I study of a weekly schedule of a fixed dose of cisplatin and escalating doses of paclitaxel in patients with advanced oesophageal cancer. Eur J Cancer. 2002;38:1495–500.
- 19.
Davila ML. Neutropenic enterocolitis. Curr Opin Gastroenterol. 2006;22:44–7.
- 20.
Mehdi I, Al BB. Chemotherapy-induced neutropenic necrotizing enterocolitis: a review. J Pak Med Assoc. 2012;62:718–23.
- 21.
Rodrigues FG, Dasilva G, Wexner SD. Neutropenic enterocolitis. World J Gastroenterol. 2017;23:42–7.
- 22.
Olithselvan A, Gorard DA. Vinorelbine and ischaemic colitis. Clin Oncol (R Coll Radiol). 2003;15:166–7.
- 23.
Dosik GM, Luna M, Valdivieso M, McCredie KB, Gehan EA, Gil-Extremera B, et al. Necrotizing colitis in patients with cancer. Am J Med. 1979;67:646–56.
- 24.
Cardona Zorrilla AF, Reveiz Herault L, Casasbuenas A, Aponte DM, Ramos PL. Systematic review of case reports concerning adults suffering from neutropenic enterocolitis. Clin Transl Oncol. 2006;8:31–8.
- 25.
Wade DS, Douglass H Jr, Nava HR, Piedmonte M. Abdominal pain in neutropenic patients. Arch Surg. 1990;125:1119–27.
- 26.
Sezer O, Eucker J, Possinger K. Colitis associated with docetaxel based chemotherapy. Lancet. 2000;355:1823–4.
- 27.
Xia R, Zhang X. Neutropenic enterocolitis: a clinico-pathological review. World J Gastrointest Pathophysiol. 2019;10:36–41.
- 28.
Bibbo C, Barbieri RA, Deitch EA, Brolin RE. Neutropenic enterocolitis in a trauma patient during antibiotic therapy for osteomyelitis. J Trauma. 2000;49:760–3.
- 29.
Chakravarty K, Scott DG, McCann BG. Fatal neutropenic enterocolitis associated with sulphasalazine therapy for rheumatoid arthritis. Br J Rheumatol. 1992;31:351–2.
- 30.
Sharma S, Rezai K, Driscoll D, Odunsi K, Lele S. Characterization of neutropenic fever in patients receiving first-line adjuvant chemotherapy for epithelial ovarian cancer. Gynecol Oncol. 2006;103:181–5.
- 31.
Markman J, Zanotti K, Webster K, Belinson J, Peterson G, Kulp B, et al. Experience with the management of neutropenia in gynecologic cancer patients receiving carboplatin-based chemotherapy. Gynecol Oncol. 2004;92:592–5.
- 32.
Principe DR, Koch RM, Bergsten TM, Rubin J. Chemotherapy-associated neutropenic enterocolitis of the transverse colon post right hemicolectomy. Oxf Med Case Rep. 2019;2019:omz140.
- 33.
Romero-Corral A, Montori VM, Somers VK, Korinek J, Thomas RJ, Allison TG, et al. Association of bodyweight with total mortality and with cardiovascular events in coronary artery disease: a systematic review of cohort studies. Lancet. 2006;368:666–78.
- 34.
Flegal KM, Kit BK, Orpana H, Graubard BI. Association of all-cause mortality with overweight and obesity using standard body mass index categories: a systematic review and meta-analysis. JAMA. 2013;309:71–82.
- 35.
Ahima RS, Lazar MA. Physiology The health risk of obesity–better metrics imperative. Science. 2013;341:856–8.
- 36.
Pepper DJ, Sun J, Welsh J, Cui X, Suffredini AF, Eichacker PQ. Increased body mass index and adjusted mortality in ICU patients with sepsis or septic shock: a systematic review and meta-analysis. Crit Care. 2016;15(20):1.
- 37.
Wang S, Liu X, Chen Q, Liu C, Huang C, Fang X. The role of increased body mass index in outcomes of sepsis: a systematic review and meta-analysis. BMC Anesthesiol. 2017;17:118.
- 38.
Ng PY, Eikermann M. The obesity conundrum in sepsis. BMC Anesthesiol. 2017;17:1.
- 39.
Oliveros H, Villamor E. Obesity and mortality in critically ill adults: a systematic review and meta-analysis. Obesity (Silver Spring). 2008;16:515.
- 40.
Wurzinger B, Dünser MW, Wohlmuth C, Deutinger MC, Ulmer H, Torgersen C, et al. The association between body-mass index and patient outcome in septic shock: a retrospective cohort study. Wien Klin Wochenschr. 2010;122:31–6.
- 41.
Hogue CW Jr, Stearns JD, Colantuoni E, Robinson KA, Stierer T, Mitter N, et al. The impact of obesity on outcomes after critical illness: a meta-analysis. Intensive Care Med. 2009;35:1152–70.
Acknowledgements
Not applicable.
Funding
No funding was received.
Author information
Affiliations
Contributions
MI made diagnosis and drafted the manuscript. KN made diagnosis and advised on manuscript preparation. SR drafted the manuscript. AI made diagnosis and drafted the manuscript. HY helped correcting the patient’s date. TI helped correcting the patient’s date. SS helped correcting the patient’s date. KS helped correcting the patient’s date. HS helped correcting the patient’s date. SK helped correcting the patient’s date. NI carried out the pathological diagnosis. SK advised on manuscript preparation and made revisions to the final manuscript. All authors have read and approved the final manuscript.
Corresponding author
Ethics declarations
Ethics approval and consent to participate
The case report protocol was approved by the institutional ethics and research review boards at Shimane University.
Consent for publication
Written informed consent was collected from the patient’s son for the publication of this case report. Her son is an adult male. A copy of the written consent is available for review by the Editor of this journal.
Competing interests
The authors declare that they have no competing interests.
Additional information
Publisher's Note
Springer Nature remains neutral with regard to jurisdictional claims in published maps and institutional affiliations.
Rights and permissions
Open Access This article is licensed under a Creative Commons Attribution 4.0 International License, which permits use, sharing, adaptation, distribution and reproduction in any medium or format, as long as you give appropriate credit to the original author(s) and the source, provide a link to the Creative Commons licence, and indicate if changes were made. The images or other third party material in this article are included in the article's Creative Commons licence, unless indicated otherwise in a credit line to the material. If material is not included in the article's Creative Commons licence and your intended use is not permitted by statutory regulation or exceeds the permitted use, you will need to obtain permission directly from the copyright holder. To view a copy of this licence, visit http://creativecommons.org/licenses/by/4.0/. The Creative Commons Public Domain Dedication waiver (http://creativecommons.org/publicdomain/zero/1.0/) applies to the data made available in this article, unless otherwise stated in a credit line to the data.
About this article
Cite this article
Ishikawa, M., Nakayama, K., Razia, S. et al. Neutropenic enterocolitis-induced sepsis and disseminated intravascular coagulation after chemotherapy: a case report. BMC Women's Health 21, 187 (2021). https://doi.org/10.1186/s12905-021-01302-8
Received:
Accepted:
Published:
Keywords
- Endometrial cancer
- Neutropenic enterocolitis
- Septic shock
- Disseminated intravascular coagulation
- Ileus
- Bacterial translocation
- Obesity paradox




